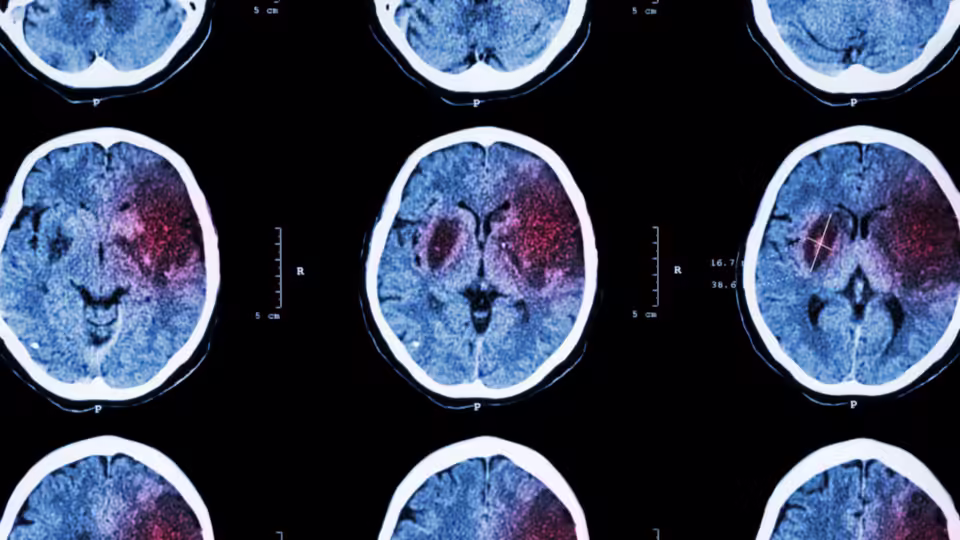
El Accidente Cerebrovascular (ACV), también conocido como ictus o stroke, es una de las principales causas de discapacidad y mortalidad en el mundo. Se produce cuando el flujo sanguíneo hacia una parte del cerebro se interrumpe, lo que puede provocar daños irreversibles en cuestión de minutos.
En la Argentina, especialistas de todo el país se reunieron recientemente en el Noveno Congreso de Neurointervencionismo, organizado por el Colegio Argentino de Neurointervencionistas (CANI), una rama médica que desde hace dos décadas desarrolla tratamientos mínimamente invasivos para enfermedades del cerebro, el cuello y la columna vertebral. Gracias a estas técnicas, hoy es posible navegar por los vasos sanguíneos y tratar aneurismas o coágulos que antes resultaban imposibles de abordar.
Dos tipos de ACV y un mismo objetivo: actuar rápido
Existen dos formas principales de ACV.
- El isquémico, que ocurre cuando un coágulo bloquea una arteria cerebral e impide que la sangre llegue al tejido.
- El hemorrágico, que se produce cuando un vaso se rompe y provoca una hemorragia dentro del cerebro.
En ambos casos, el tiempo es determinante: cuanto antes se actúe, mayores serán las probabilidades de salvar la vida y reducir las secuelas.

Los síntomas suelen aparecer de forma repentina: debilidad en la cara, el brazo o la pierna (especialmente de un lado del cuerpo), dificultad para hablar o entender, pérdida de visión, mareos, pérdida del equilibrio o dolor de cabeza intenso sin causa aparente. Ante cualquiera de estos signos, la consulta médica inmediata puede marcar la diferencia.
Avances médicos y conciencia social
El desarrollo de nuevas tecnologías de diagnóstico por imágenes y el perfeccionamiento de las técnicas quirúrgicas han mejorado el pronóstico de los pacientes. Los tratamientos neurointervencionistas permiten restaurar el flujo sanguíneo y evitar complicaciones graves, logrando recuperaciones que años atrás eran impensadas.
A la vez, los médicos insisten en que la prevención sigue siendo la mejor herramienta. Adoptar hábitos saludables —mantener una alimentación equilibrada, realizar actividad física, evitar el sedentarismo, reducir el consumo de alcohol y eliminar el tabaco— puede prevenir hasta el 80% de los ACV.
Un compromiso que se renueva cada año
Cada 29 de octubre, las organizaciones médicas y científicas recuerdan la importancia de conocer los factores de riesgo y actuar a tiempo. La meta es común: disminuir la incidencia del ACV y promover una vida plena y saludable para todos.
(*) El Dr. Pablo Iturrieta (M.N. 107.165) es Medico Neurocirujano y Neurointervencionista. Miembro del Colegio Argentino de Neurointervencionistas. Especialista en Hospital D. Santojanni de CABA, Clínica Santa Clara de San Juan y Hospital Privado de San Juan.
Fuente: TN



